врачебыне истории
13:31, 27 октября 2025 г.

Балаковские врачи спасли пенсионерку с тяжелым диагнозом

врачебыне истории

В Балаково медики провели уникальную операцию, использовав нестандартный способ лечения. Проявив сообразительность и мастерство, Балаковские врачи спасли пенсионерку с тяжелым диагнозом.

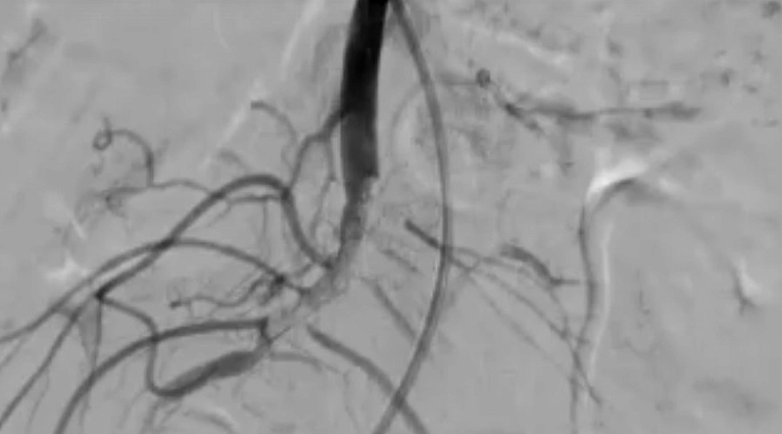
Как сообщает Балаковская городская клиническая больница (БГКБ), в приемное отделение поступила 78-летняя пенсионерка с тромбозом кишечника. Отличить на ранних этапах данное заболевание от других очень сложно, и окончательный диагноз врачи поставили уже непосредственно перед операцией. Медикам пришлось не только удалить омертвевшую часть кишечника, но и удалось необычным способом восстановить кровообращение в сосудах. По информации БГКБ, пенсионерку после операции внимательно наблюдали в течение недели, и сейчас уже выписали из больницы. А подробности уникальной операции балаковских медиков смотрите в репортаже БГКБ.

Фото, видео: БГКБ

Читайте также: Балаковца обвинили в нарушении городского дизайн-кода

#Балаково #балаковские врачи #спасли пациентку #уникальная операция #новости Балаково
Нашли опечатку в тексте? Выделите её и нажмите ctrl+enter
Этот сайт использует «cookies». Также сайт использует интернет-сервис для сбора технических данных касательно посетителей с целью получения маркетинговой и статистической информации. Условия обработки данных посетителей сайта см. "Политика обработки данных"